放射線技術科
放射線技術科の紹介
放射線技術科の紹介
放射線技術科では診療放射線技師2名が従事しております。
技術・接遇ともに質の高い医療を目指し、スキルアップに積極的に取り組んでいます。患者さんが安心・安全に検査が受けられるよう、患者さんに寄り添ったコミュニケーションを心掛け、よりよい信頼関係を築いていきたいと考えております。
検査に限らず、わからない事や何かお気づきの点があればお気軽にお声掛けください。
検査の流れ
レントゲン受付「8番」に検査ファイルをお出しください。受付後、検査を行う部屋をご案内いたします。
※検査によっては着替えが必要になります。
※病棟撮影など検査中で技師が不在の場合があります。その際は、お手数ですが検査ファイルを「検査ファイル入れ」に置き、お待ちいただく事があります。


各種検査について
【一般撮影】
撮影部位にX線を照射し、その透過像を画像化する一般的なレントゲン検査のことです。当院では、「FPD(フラットパネルディスプレイ)システム」を導入しており、画像処理により迅速に高精度な画像を提供することができます。





【骨塩定量】
骨密度を測定する検査です。
前腕部(手首から肘)を微量のX線でスキャンして、その透過から計算し、全身の骨の目安とします。

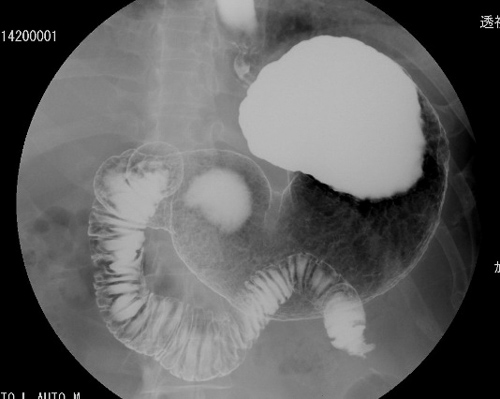
【透視検査】
X線を連続で出し、その画像を動画として観察できる装置です。造影剤を用いて胃腸などの動きを観察しながら撮影することができます。
内視鏡検査やチューブの挿入等の検査を進める際にも使用しています。


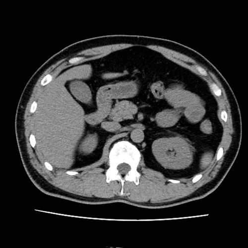
【CT(computed tomography)】
管球(ドーナツ状の部分にあるX線を出す機械)がX線を出しながら体の周りを回転し、人体を透過したX線をコンピューター処理して画像化します。短時間で広い範囲を撮影でき、様々な方向からの画像や3Dを作成します。







【ポータブル撮影】
移動型のX撮影装置で、病室まで走行させてバッテリーで撮影できる一般撮影装置です。


放射線について
放射線というと一般的に「怖い!」というイメージが強いかと思います。やはり目に見えないものや分からないものに対しては、不安になるのは当然だと思います。しかし、現代の医療では放射線を使った検査はなくてはならないものの一つになっています。
そんな放射線について少しご説明します。
放射線とは
放射線とは、エネルギーが高い光や小さな小さな粒のこと。
光にはいろいろなエネルギーのものがあって、目に見える光(可視光)よりもっともっとエネルギーが高くなると、目に見えなくなって放射線になります。図のX線やガンマ線が放射線です。

ここで、粒子や光を野球のボールにたとえて考えてみましょう。
マイナスイオンやマイクロ波などの粒子や光は、小さい子供が投げるボールになります。小さい子供が投げるボールなのでスピードが遅く、あたっても痛くありませんが、それに対してX線などの放射線は同じボールでもプロ野球選手が投げるボールで、スピードが速くあたると非常に痛いし、もしかしたら骨折するかもしれません。
つまり、元となるものは一緒でもエネルギー(破壊力)が違うだけで名前の呼び方が変わるということです。

放射線の単位
放射線の単位でいくつか耳にしたことがあるかと思います。
それぞれの単位の意味を、放射線を雨に例えてイメージしてみます。

参考:図解放射線防護ミニマム基礎知識
人体への影響
通常の放射線検査での被ばくは少なく、健康に影響を及ぼすことはほとんどありません。
定期的に受ける場合も体の修復機能によって健康への影響は小さく無視できる程度です。
また、医療における放射線診断は検査を受ける利益とリスクを比較し、利益が大きいと判断された場合に行います。
※身近に使われる医療放射線による被ばくや、自然放射線による被ばく等が一覧に示されている図があります。
私たち診療放射線技師は、皆様に放射線に対して理解を深めていただき、少しでも検査や治療に対する不安が軽減できるよう努めております。検査・医療被ばくについて、わからないことがあればお気軽にお声掛けください。
